J Adv Periodontol Implant Dent. 12(1):43-47.
doi: 10.34172/japid.2020.002Case Report
Minimally guided bone regeneration procedure for immediate implant placement and provisionalization of a maxillary lateral incisor: A case report
Abdulreza Fattahian 1
, Farzaneh Poursafar 2
, Siamak Yaghobee 2, * 
1Private Practice, Tehran, Iran
2Department of Periodontics, Faculty of Dentistry, Tehran University of Medical Sciences, Tehran, Iran
*Corresponding author: Siamak Yaghobee. Tel: +98-2122081931 E-mail:
[email protected]
Abstract
Immediate implant placement has some advantages, such as time-saving, optimal soft tissue architecture preservation, and patient acceptance. In this case, prior to implant placement, minimally guided bone regeneration was performed to augment the concavity on the apico-labial aspect of a fractured maxillary right lateral incisor. After eight months, the tooth was extracted, and an implant was immediately inserted, and a provisional composite-based crown was delivered in the same appointment. After four months, well molded mid-facial gingiva and interproximal papilla were obtained, and a final metal-ceramic crown was fabricated.
Keywords: Bone regeneration, Dental implants, Dental restoration, Immediate dentalimplant loading, Single tooth, Temporary
Copyright
© 2020 The Author(s).
This is an open access article distributed under the terms of the Creative Commons Attribution License (
http://creativecommons.org/licenses/by/4.0/), which permits unrestricted use, distribution, and reproduction in any medium, provided the original
work is properly cited.
Introduction
Dental implants are a therapeutic approach for functional and aesthetic needs. Implant placement in the esthetic zone is one of the most significant challenges for clinicians.
1
Different studies have demonstrated a high percentage of clinical success for immediate implant placement.
2
The placement of an implant in the fresh extraction sockets reduces the overall treatment time and gives rise to satisfactory esthetic outcomes in most cases. However, a careful assessment of risk indicators of this procedure, such as thin tissue biotype, thin facial bone, and dehiscence of the facial bone is important.
3
Immediate implantation provides the opportunity to deliver a provisional restoration. Numerous studies have reported good esthetic outcomes for such treatment.
4,5
This case report presents the immediate implant placement and provisionalization in the anterior maxilla after a minimally guided bone regeneration procedure with a different flap design.
Case report
A 48-year-old female patient referred to the clinic interventions, immediate implantation with a complaint of the crown mobility and pain on biting related to the upper right lateral incisor (Figure 1). She was in good general health, and her medical history revealed no medical conditions. Intraoral examinations demonstrated healthy gingival and periodontal status, stable occlusion, acceptable intermaxillary relationship, and no parafunctional habits. Clinical intraoral examinations revealed an oblique complicated crown fracture of the maxillary right lateral incisor. The fracture line extended subgingivally on the labial aspect and ended close to crestal labial bone (Figure 2). Crown lengthening procedure was not a treatment option since it could lead to compromised esthetic outcomes. On the periapical radiograph, the tooth seemed to be an ideal candidate for immediate implant insertion; however, CBCT and clinical evaluations showed a large bone concavity in the apical area of the tooth (Figure 1). After a thorough clinical examination and radiographic evaluation, different treatment plans were explained to the patient. Taking into consideration the maintenance of an esthetic appearance during the treatment procedures and the patient’s desire for a minimal number of surgical the final treatment plan. The apical bone concavity had to be resolved; otherwise, implant placement inimmediate provisionalizatoin was decided upon as an ideal position was not possible; therefore, it was decided to augment the apical bone concavity before tooth extraction and immediate implantation. Prior to the surgical process, informed consent was obtained from the patient.
The treatment started with the placement of a prefabricated post and a composite core with a composite-based temporary crown (Dentocrown, Itena, Villepinte, France) on the lateral incisor.
Figure 1.
(A) The preoperative clinical and (B) CBCT views
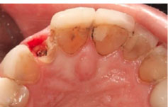
Figure 2.
The fractured maxillary lateral incisor.
Procedure
stage 1
The patient was instructed to take 1 g of amoxicillin an hour before surgery. After administration of the local anesthetic agent (2% lidocaine with 1:100,000 epinephrine), the patient was instructed to rinse her oral cavity with 0.2% chlorhexidine gluconate (CHX) mouthwash for one minute. In this stage, the goal was to augment the concavity of the apical area without damaging the coronal hard and soft tissue architecture, especially the interdental papilla. A horizontal incision was made four mm apical to the free gingival margin of the maxillary right lateral incisor, continuing mesially to central incisor and distally to the canine to preserve the natural architecture of tissues around the tooth. Releasing incisions were made on the distal and mesial aspects. Then, a mucoperiosteal flap was elevated (Figure 3A). Cortical plate perforations were performed using a surgical handpiece to facilitate the migration of osteogenic cells and increase blood perfusion to the site. A particulate allograft (FDBA) (Cenobone, Tissue Regeneration Co., Kish, Iran) and a collagen membrane (Tissue Regeneration Co., Kish Tehran, Iran) were used to guide bone regeneration in this defect. The flap was closed primarily using 6-0 Glycolon sutures (Resorba Medical GmbH, Nürnberg, Germany) (Figures 3B and 3C).
Figure 3.
(A) The mucoperiosteal flap reflected to expose the apical bone concavity. (B and C) Guided bone regeneration procedure.
After surgery, amoxicillin, 500 mg (q8h for seven days), gelofen, 400 mg (q6h for seven days), and 0.2% CHX mouthwash (twice daily for a week) were prescribed. The patient was asked to return at two-day, one-week, and one-month intervals after surgery for postoperative assessment.
stage 2
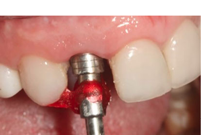
After eight months, the grafted site healed without any complications. A CBCT view showed a favorable reconstruction of the grafted area (Figure 4). Local anesthesia with 2% lidocaine (1:100,000 epinephrine) was delivered. Without flap elevation, the lateral incisor was extracted atraumatically using a periotome. The extraction socket was thoroughly curetted for complete debridement of the granulation tissue and then irrigated with normal saline solution. Osteotomy site preparation was performed, and a self-threaded titanium implant (3.75×11.5 mm, Osseotite®, Biomet 3i, Florida, United States) was inserted at the extraction socket. Insertion torque value was 40 N/cm2, and favorable primary stability was achieved from the residual alveolar bone. The implant platform was placed 2 mm apical to the cementoenamel junction of the right maxillary central incisor (Figure 5A). The gap between the implant surface and the labial wall of the socket was filled with xenograft particles (cerabone®, Botiss Biomaterials GmbH, Zossen, Germany).
Figure 4.
The CBCT view of the grafted site after 8 months.
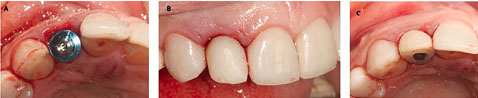
A temporary cylindrical abutment was tightened on the implant, and a composite-based provisional crown (Dentocrown, Itena, Villepinte, France) was fabricated on the temporary cylinder to make a screw-retained provisional restoration (Figure 5B). The occlusal assessment was made, and any centric and eccentric contacts were eliminated. Amoxicillin, 500 mg (q8h for seven days), gelofen, 400 mg (q6h for seven days), and 0.2% CHX mouthwash (twice daily for a week) were prescribed. The patient was placed on a soft diet for two months.
Figure 5.
(A) Placement of an Osseotite implant in the extraction socket. Immediate provisional composite-based crown from the frontal (B) and occlusal views (C)
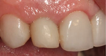
A regular follow-up was performed every month. After four months, the site healed without any complications (Figure 6), and the periapical radiograph showed no bone loss and radiolucency around the implant. The provisional restoration was removed, and an open tray impression was taken using the putty/wash technique (ImprintTM, 3M, Minnesota, United States) (Figure 7). The implant abutment torqued to 25 N/cm2, and a definitive screw-retained metal-ceramic restoration was delivered (Figure 8).
Figure 6.
Clinical view 4 months after implant placement.
Figure 7.
An open-tray impression coping was used for the final impression.
Figure 8.
A definitive screw-retained metal ceramic restoration was fabricated 4 months after implant placement.
Figure 9.
The radiographic view 5 months after implant placement.
Regular follow-ups were performed every three months during the first year and then every six months
The five-year follow-up examination revealed stable and healthy peri-implant soft tissue, and the patient was satisfied with the esthetic outcome.
Discussion
Several studies have demonstrated that guided bone regeneration is successful for horizontal augmentation.
6
This paper reported the case of a hopeless maxillary lateral incisor and the concave osseous architecture of the buccal bone plate. For the bone regeneration procedure, a special flap was designed to preserve the interdental papilla and free gingival architecture, which reduced the risk of the papilla and gingival recession in the future. Implant replacement following tooth extraction and immediate provisionalization led to improvements in the appearance and psychological status.
Different studies have indicated that immediate implant placement is a successful and predictable treatment.
7-10
Implants placed in the extraction socket exhibited high survival and success rates comparable to those for implants placed in healed sites.
11
Immediate implant placement and provisionalization provide optimal esthetic by preserving the hard and soft tissue architecture.
12,13
However, placing an implant in the fresh extraction socket cannot prevent physiologic modeling/remodeling that occurs in the socket wall. Width and height changes of the buccal plate are more pronounced than those in the lingual plate.
14-16
In a study by Chen et al,
17
s fractured maxillary central incisor was extracted, and an implant was placed immediately in combination with provisionalization and simultaneous GBR. The 18-month follow-up showed a high implant success rate and satisfactory esthetic outcomes.
In another study by Levin et al,
18
simultaneous with immediate implant placement, GBR was performed, and a screw-retained provisional restoration was delivered. At one-year follow-up, all the 29 implants were successfully osseointegrated with excellent stability and minimum bone loss.
According to a recent review, the recession of the facial mucosal margin was more frequent for immediate implant placement.
19
A case-series study with a one-year follow-up demonstrated that immediate implant placement with a flapless procedure was associated with significantly less mid-facial recession than the flap surgery.
20
Different studies have suggested that flapless implant insertion reduces soft tissue inflammation and marginal bone loss and enhances the peri-implant tissue vascularization.
21-23
Different studies are available on the management of the marginal gap between the implant surface and the fresh extraction socket walls during immediate implantation. For horizontal marginal defect ≤2 mm, there is no need to use regenerative procedures.
24
Since studies have demonstrated that deproteinized bovine bone has an osteoconductive effect on new bone formation
25
and reduces bone resorption in post-extraction human sockets,
26
Cerabone was used for the treatment of the marginal gap after implant placement in the patient presented.
In the esthetic zone, provisional restorations have several benefits. Assessment of esthetic, phonetic, and occlusal functions before the fabrication of final implant restorations and establishment of a natural and esthetic peri-implant mucosal tissues and interdental papilla are some of the advantages of provisional restorations.
27
Conclusion
This clinical report presented the esthetic and functional reconstruction of a fractured maxillary right lateral incisor using minimally guided bone regeneration, immediate implant placement, and provisionalization. Maximum enhancement and preservation of hard and soft tissue architecture, lack of anterior edentulous period, and optimum improvement of the appearance and confidence are the advantages of this treatment modality. However, careful patient evaluation and selection are essential for a successful outcome.
Authors’ contributions
AF: surgeon, FP: scientific writer, SY: supervisor of team. All authors have read and approved the final manuscript.
Competing interests
The authors declare that they have no competing interests (financial and non-financial).
Ethics approval
Our study is a case report and before study initiation, informed consent was obtained from the patient. All the procedures that has been done for the patient are evidence based.
Authors’ information
Abdulreza Fattahian: Master clinician in implant dentistry, Private practitioner, Tehran, Iran. E-mail: [email protected]
Farzaneh Poursafar: Periodontology resident, Tehran University of Medical Sciences, Tehran, Iran. E-mail: [email protected]
Siamak Yaghobee: Associate professor, periodontology Department, Tehran University of Medical Sciences, Tehran, Iran.
References
- Abdulgani A, George C, Nikos K, Muhamad A-H. Zirconium Dental Implants And Crown for Congenitally Missing Maxillary Lateral; Clinical Case. J Dent Med Sci 2017; 16(3):72-7. doi: 10.9790/0853-1603137277 [Crossref] [ Google Scholar]
- Covani U, Cornelini R, Barone A. Bucco-lingual bone remodeling around implants placed into immediate extraction sockets: a case series. J Periodontol 2003; 74(2):268-73. doi: 10.1902/jop.2003.74.2.268 [Crossref] [ Google Scholar]
- Hammerle C, Chen S, Wilson T. Consensus statements and recommended clinical procedures regarding the placement of implants in extraction sockets. Int J Oral Maxillofac Implants 2004; 19:26-8. [ Google Scholar]
- Cabello G, Rioboo M, Fabrega JG. Immediate placement and restoration of implants in the aesthetic zone with a trimodal approach: soft tissue alterations and its relation to gingival biotype. Clin Oral Implants Res 2013; 24(10):1094-100. doi: 10.1111/j.1600-0501.2012.02516.x [Crossref] [ Google Scholar]
- Kan JY, Rungcharassaeng K, Lozada J. Immediate placement and provisionalization of maxillary anterior single implants: 1-year prospective study. Int J Oral Maxillofac Implants 2003; 18(1):31-9. [ Google Scholar]
- Retzepi M, Donos N. Guided Bone Regeneration: biological principle and therapeutic applications. Clin Oral Implants Res 2010; 21(6):567-76. doi: 10.1111/j.1600-0501.2010.01922.x [Crossref] [ Google Scholar]
- Covani U, Crespi R, Cornelini R, Barone A. Immediate implants supporting single crown restoration: a 4-year prospective study. J Periodontol 2004; 75(7):982-8. doi: 10.1902/jop.2004.75.7.982 [Crossref] [ Google Scholar]
- Hammerle CH, Bragger U, Schmid B, Lang NP. Successful bone formation at immediate transmucosal implants: a clinical report. Int J Oral Maxillofac Implants 1998; 13(4):522-30. [ Google Scholar]
- Lang NP, Bragger U, Hammerle CH, Sutter F. Immediate transmucosal implants using the principle of guided tissue regeneration I Rationale, clinical procedures and 30-month results. Clin Oral Implants Res 1994; 5(3):154-63. doi: 10.1034/j.1600-0501.1994.050306.x [Crossref] [ Google Scholar]
- Schwartz-Arad D, Chaushu G. Placement of implants into fresh extraction sites: 4 to 7 years retrospective evaluation of 95 immediate implants. J Periodontol 1997; 68(11):1110-6. doi: 10.1902/jop.1997.68.11.1110 [Crossref] [ Google Scholar]
- Chen ST, Wilson TG, Jr Jr, Hammerle CH. Immediate or early placement of implants following tooth extraction: review of biologic basis, clinical procedures, and outcomes. Int J Oral Maxillofac Implants 2004; 19:12-25. [ Google Scholar]
- Garber DA, Salama M, Salama H. Immediate total tooth replacement. Compend Contin Educ Dent 2001; 22(3):210-6, 8. [ Google Scholar]
- Kan J, Runcharassaeng K. Immediate placement and provisionalization of maxillary anterior single implants: a surgical and prosthodontic rationale. Pract Periodontics Aesthet Dent 2000; 12(9):817-24. [ Google Scholar]
- Araujo MG, Sukekava F, Wennstrom JL, Lindhe J. Ridge alterations following implant placement in fresh extraction sockets: an experimental study in the dog. J Clin Periodontol 2005; 32(6):645-52. doi: 10.1111/j.1600-051X.2005.00726.x [Crossref] [ Google Scholar]
- Araujo MG, Sukekava F, Wennstrom JL, Lindhe J. Tissue modeling following implant placement in fresh extraction sockets. Clin Oral Implants Res 2006; 17(6):615-24. doi: 10.1111/j.1600-0501.2006.01317.x [Crossref] [ Google Scholar]
- Botticelli D, Berglundh T, Lindhe J. Hard-tissue alterations following immediate implant placement in extraction sites. J Clin Periodontol 2004; 31(10):820-8. doi: 10.1111/j.1600-051X.2004.00565.x [Crossref] [ Google Scholar]
- Chen C-L, Chang C-L, Lin S-J. Immediate implant placement and provisionalization with simultaneous guided bone regeneration in the esthetic zone. Journal of Dental Sciences 2011; 6(1):53-60. doi: 10.1016/j.jds.2011.01.001 [Crossref] [ Google Scholar]
- Levin BP, Wilk BL. Immediate provisionalization of immediate implants in the esthetic zone: a prospective case series evaluating implant survival, esthetics, and bone maintenance. Compend Contin Educ Dent 2013; 34(5):352-61. [ Google Scholar]
- Chen ST, Buser D. Clinical and esthetic outcomes of implants placed in postextraction sites. Int J Oral Maxillofac Implants 2009; 24:186-217. [ Google Scholar]
- Raes F, Cosyn J, Crommelinck E, Coessens P, De Bruyn H. Immediate and conventional single implant treatment in the anterior maxilla: 1-year results of a case series on hard and soft tissue response and aesthetics. J Clin Periodontol 2011; 38(4):385-94. doi: 10.1111/j.1600-051X.2010.01687.x [Crossref] [ Google Scholar]
- Becker W, Goldstein M, Becker BE, Sennerby L. Minimally invasive flapless implant surgery: a prospective multicenter study. Clin Implant Dent Relat Res 2005; 7:21-7. doi: 10.1111/j.1708-8208.2005.tb00071.x [Crossref] [ Google Scholar]
- Kim JI, Choi BH, Li J, Xuan F, Jeong SM. Blood vessels of the peri-implant mucosa: a comparison between flap and flapless procedures. Oral Surg Oral Med Oral Pathol Oral Radiol Endod 2009; 107(4):508-12. doi: 10.1016/j.tripleo.2008.08.003 [Crossref] [ Google Scholar]
- You TM, Choi BH, Li J, Xuan F, Jeong SM, Jang SO. Morphogenesis of the peri-implant mucosa: a comparison between flap and flapless procedures in the canine mandible. Oral Surg Oral Med Oral Pathol Oral Radiol Endod 2009; 107(1):66-70. doi: 10.1016/j.tripleo.2008.05.045 [Crossref] [ Google Scholar]
- Cornelini R, Cangini F, Covani U, Wilson TG, Jr Jr. Immediate restoration of implants placed into fresh extraction sockets for single-tooth replacement: a prospective clinical study. Int J Periodontics Restorative Dent 2005; 25(5):439-47. doi: 10.1016/j.prosdent.2006.03.007 [Crossref] [ Google Scholar]
- Berglundh T, Lindhe J. Healing around implants placed in bone defects treated with Bio-Oss An experimental study in the dog. Clin Oral Implants Res 1997; 8(2):117-24. doi: 10.1034/j.1600-0501.1997.080206.x [Crossref] [ Google Scholar]
- Nevins M, Camelo M, De Paoli S, Friedland B, Schenk RK, Parma-Benfenati S. A study of the fate of the buccal wall of extraction sockets of teeth with prominent roots. Int J Periodontics Restorative Dent 2006; 26(1):19-29. doi: 10.1308/135576106777795653 [Crossref] [ Google Scholar]
- Santosa RE. Provisional restoration options in implant dentistry. Aust Dent J 2007; 52(3):234-42. doi: 10.1111/j.1834-7819.2007.tb00494.x [Crossref] [ Google Scholar]